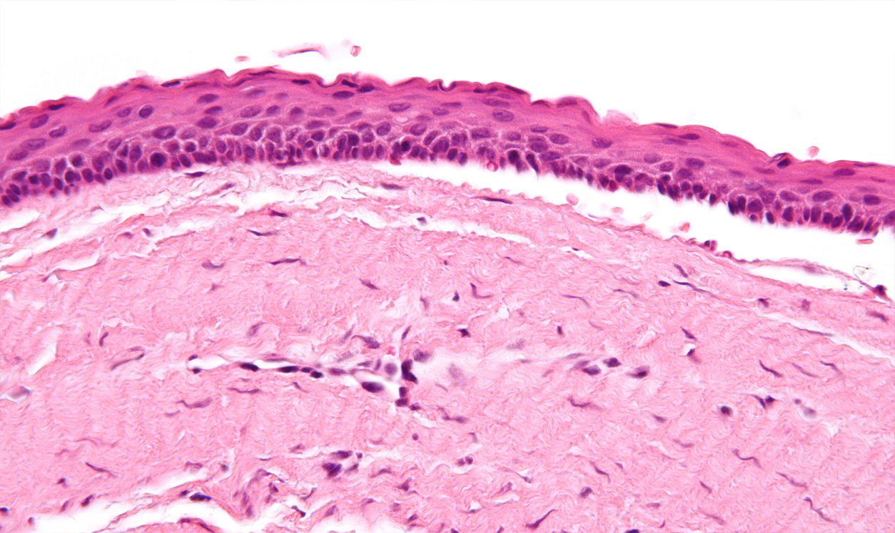
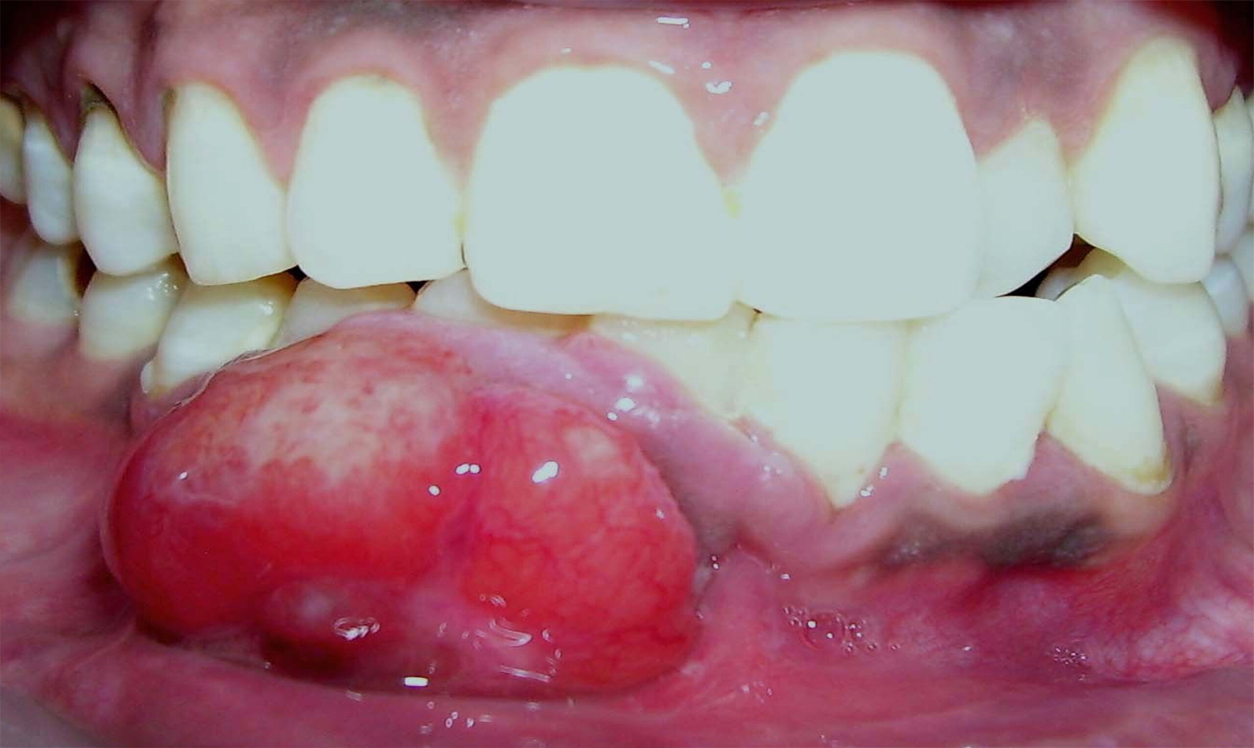
Oral Pathology (also known as oral and maxillofacial pathology/head and neck pathology) is a specialized field of pathology dealing with the diseases of oral cavity and its associated structures (i.e., teeth, tongue; bony tissue [maxilla and mandible]; joint [temporomandibular joint]; lymph nodes; nerves; structures in neck and blood vessels of the ear, nose and throat [pharynx and larynx]).
The practice of oral and maxillofacial pathology & oral microbiology includes diagnosis of diseases using clinical, radiographic, microscopic, hematological, biochemical, microbiological, immunological, ultrastructural or other molecular/genetic examinations.
According to the Medical Council of India (MCI), dentistry is one of the recognized branches of modern scientific medicine and taught during Phase III of MBBS curriculum as a part of surgery. Dentistry is the 29th broad medical specialty as per National Medical Commission (NMC), Teachers Eligibility Qualifications in Medical Institutions Regulations, 2022. As per the Dental Council of India (DCI), oral pathology and microbiology is one of the nine recognized specialties under dentistry. Therefore, oral pathology is not only a branch of dentistry but also of pathology and, in turn, related to medicine. Like other branches of pathology, oral & maxillofacial pathology is also a recognized international specialty of pathology, and this fact has already been acknowledged by the Royal College of Pathologists, United Kingdom.
India’s oral pathologists are the backbone of diagnostic excellence. POPMA (Practicing Oral Pathologists and Microbiologists Association) stands as a collective voice promoting recognition, practice rights, and opportunities for every professional in this field. Together, we build the future of Oral Pathology.

Collaborate in diagnostics, research, and mentorship across India’s oral pathology network.

Gain access to exclusive webinars, legal updates, and academic discussions through POPMA.

Support POPMA events and initiatives advancing oral pathology awareness and education.

Join advocacy for signatory rights and initiatives that make oral pathologists self-sufficient
POPMA (Practicing Oral Pathologists and Microbiologists Association) is India’s collective voice for diagnostic excellence, professional rights, and academic growth. Through advocacy, education, and collaboration, we aim to strengthen the future of Oral Pathology nationwide.
We unite practicing oral pathologists from across the country to build a strong, self-reliant, and ethically driven professional community. POPMA works to expand career opportunities, enhance visibility in healthcare systems, and uphold the dignity and recognition of oral pathology as a vital clinical specialty.
+91-70270-38190
Promoting independent diagnostic and reporting rights for Oral Pathologists across all clinical lab domains.
Driving inclusion of MDS (Oral Pathology) in government recruitment and statutory recognition frameworks.
Organizing national conferences, webinars, and study clubs to enhance learning and professional skills.
Encouraging mentorship, collaboration, and welfare initiatives among practicing oral pathologists.
POPCON-2026, the 2nd National Conference of POPMA (Practicing Oral Pathologists and Microbiologists Association), is set to be a landmark scientific gathering in the field of Oral Pathology. Scheduled from 2nd–4th October 2026, the conference aims to bring together a distinguished congregation of national and international experts, academicians, clinicians, researchers, and young professionals from across India and beyond.
With the theme “Next Gen Oral Pathology: Practices & Transformations,” POPCON-2026 will provide a dynamic platform for in-depth deliberations on advanced diagnostics, emerging technologies, laboratory practices, AI-driven applications in oral pathology, translational research, and evolving professional paradigms. The conference aspires to foster collaboration, knowledge exchange, and innovation, further strengthening POPMA’s vision to empower, connect, and advance the global oral pathology community.
Registered under section 9(1) of the
Haryana Registration and Regulation of
Societies Act, 2012
Regn. No.: HR/12/2023/01797
NGO Unique ID: HR/2024/0477820
Copyright © 2026 POPMA (Practicing Oral Pathologists and Microbiologists Association). All Rights Reserved.
Website Developed by Er. Piyush Sharma
WhatsApp us